澄观光学突破无标记超分辨显微技术,推动生命科学观测革新。由于无需额外标记物,无标记光学成像避免了对样品做固定、切片、染色等损伤性操作,可以在一定程度上完成非侵入、长时程的活体观测,多研究领域有巨大优势。
高端光学显微镜作为生命科学、材料科学、半导体检测、精密制造等领域的核心观测工具,突破了传统显微镜的分辨率与应用局限,以超分辨、高灵敏度、多维成像等优势,推动科研从“宏观表征”向“微观机制解析”跨越,从“静态观测”向“动态追踪”升级。
“高端光学显微镜技术进击潮”专题,并向相关企业、科研机构广泛约稿,本篇为澄观光学供稿。自17世纪光学显微镜发明并助力人们观察到细胞后,其一直是细胞生物学研究的关键工具。光学显微镜作为一种无损探测手段,在生命科学与医学研究中得到了广泛应用。传统的光学显微镜由一系列光学透镜与可见光照明构成,这种普通显微成像技术支撑了 80%的生命科学研究。但因受阿贝衍射极限的限制
,其分辨率始终存在瓶颈,在可见光范围内,横向分辨率难以超越 200 nm,纵向分辨率无法超过 600 nm。外源性标记和基因修饰的荧光成像技术的出现,极大地提升了细胞成像的分辨率。尤其是超分辨荧光显微镜,如受激发射损耗显微成像(STED)
、随机光学重构显微成像(STORM)[3]及光活化定位显微成像(PALM)[4]等超分辨技术的相继问世,使得对细胞以及细胞器的观察成为可能。不过,荧光成像存在诸多限制。它需要外源标记,难以对多种细胞器进行全景式成像;并且常常要高强度激光照射,因此会对生物样本造成光毒性损伤,干扰细胞的生理功能与存活。同时,荧光染料在长时间激光照射下会发生光漂白现象,致使荧光信号逐渐减弱,影响成像质量与持续观测时间。外源性标记和基因修饰还会干扰活体细胞的自然过程,降低样本活性,影响长时程的研究,并且可能引发定量和可重复性问题[5]。因此,对于医学诊断和治疗中的体内成像,尤其是针对人体参与者而言,基于标记的成像技术并不适宜。无标记光学显微成像方法能够弥补荧光成像存在的不足,其利用成像样品的内在特性或内源性光学标记物来获取对比度,例如通过成像物体对入射光场各分量进行调制,或者利用样品内在自发荧光物质在满足一定激发条件下产生自发荧光等方式来进行成像。由于无需额外标记物,无标记光学成像避免了对样品做固定、切片、染色等损伤性操作,可以在一定程度上完成非侵入、长时程的活体观测,在分子医学和临床诊断中具有极大优势
。传统的无标记显微成像技术最重要的包含相衬、微分干涉、数字全息成像技术等,常用于对细胞形态、细胞数量、细胞分布等进行初步观察与统计。然而,由于活细胞呈现无色光学透明状,传统明场显微镜对其成像的对比度差、分辨率低,难以清晰地观察到细胞内部的精细结构和微小的细胞器。对于细胞内的线粒体、内质网等细胞器的形态与分布,低分辨率明场显微镜没办法提供准确信息,这在很大程度上限制了对细胞生理功能和病理过程的深入研究。
光学衍射层析成像技术(Optical Diffraction Tomography, ODT)是一种新兴的无标记光学显微技术。ODT是一种区别于传统明场和荧光成像的全新成像技术。细胞内不同的细胞器具有不一样的折射率,而折射率本身就可作为一种天然的“造影剂”
。当光波穿过折射率不均匀的样品时,其散射(或衍射)会引发光场振幅和相位的变化,因此,散射(或衍射)光场的振幅和相位中天然蕴含了样品的结构信息,再通过逆散射(或衍射)过程来重构出生理性状态下活细胞的定量折射率分布图。该技术能同时观测包括核膜、核仁、线粒体、脂滴、溶酶体、内质网、细胞骨架、黑体等八种以上亚细胞结构,近年来已被慢慢的变多生物学家所认可并应用于实验研究[8]。澄观光学科技(南通)有限公司(以下简称“澄观光学”)作为专注于该领域的显微镜制造商,通过一系列核心突破,成功跨越了从“原理可行”到“产品可靠”的鸿沟。2020年,在首席科学家施可彬教授的带领下,核心团队在北京大学长三角光电科学研究院组建了高分辨显微成像研究室。其核心使命明确:将北京大学的前沿光学成果,在南通进行系统的工程化验证与开发,架起从实验室到产业的桥梁。公司确立了“硬件采集+AI解析”的双轮驱动路径:一方面,通过创新的物理硬件架构获取高质量原始数据;另一方面,运用先进的AI算法与软件进行信息重构与深度分析;将AI融入光学成像分析,为生命科学、生物医药和工业检验测试领域提供全面高效的解决方案。
澄观光学通过高稳定性的硬件平台、高度自动化的采集软件与智能化的分析软件的系统性整合,构建了一套完整的活细胞无标记成像解决方案。从核心模块的精密设计测试,到整机系统的集成优化,团队在这一阶段展开了扎实的核心技术攻关。通过持续的迭代开发,不仅攻克了多项关键工艺难点,积累了宝贵的工程经验,更重要的是锻造了一支兼具深厚学术底蕴与卓越工程实践能力的核心团队。这一阶段的务实深耕,为澄观后续的产品化与商业化奠定了坚实的技术与人才基石。
澄观光学始终将成像系统的可靠性视为获得精准数据的根本前提。为实现这一目标,我们对成像系统来进行了系统性设计与工程优化。系统采用高度集成化的小型光路设计,通过工程化与模块化布局,在确保系统结构紧凑与运行稳定的同时,明显提升了光路的一致性与可靠性。模块化架构允许用户根据实验需求,灵活选配或升级特定成像模块(如荧光模块),在扩展系统功能的同时,大大降低了用户长期的设备投入成本。
为充分发挥无标记成像与荧光标记成像的各自优势,并实现二者的高质量同步,澄观光学创新性地将光学衍射层析成像技术与转盘共聚焦显微技术相结合。光学衍射层析成像提供无标记、低光毒性的三维折射率成像,具备高时间分辨率与亚细胞级结构解析能力,适用于长时间活细胞动力学观察;转盘共聚焦通过物理针孔阵列有效抑制离焦荧光,在实现光学切片、提升轴向分辨率与信噪比的同时,明显降低了光源白性与光毒性,更适用于活细胞的长期、多维度荧光观测。二者的有机结合,在硬件与算法层面实现了深度的时空同步。该设计确保了无标记成像与荧光成像在时间分辨率与空间分辨率上的匹配性,使系统能够同步捕获快速的动态生物学过程,并获得可用于精确共定位与定量分析的多模态图像数据。这一技术路线,有效拓展了光学衍射层析成像在复杂活细胞研究中的应用广度与深度。
澄观光学始终秉持用户至上的核心理念,为优化实验流程并提升成像系统的整体性能,我们自主研发了一套综合性数据采集软件。该软件集成参数设置、实时预览、数据处理及文件管理等功能模块,旨在为用户更好的提供一站式成像解决方案。
软件采用模块化设计,以高内聚、低耦合的架构支持功能拓展与定制化需求。各模块间通过统一数据接口实现无缝协同,保障从图像采集到分析全过程的高效性与稳定性。1)支持全培养皿尺度的高分辨率明场预览,用户可基于实时图像快速定位目标区域,实现可视化的精准导航,大幅度减少样本搜寻时间;2)结合图像分析算法与硬件反馈控制,实现物理—图像双重焦面锁定。该机制有效抑制因环境波动或长时间观测导致的焦点漂移,保障时序成像的稳定性和数据可比性;3)具备可编程的多区域、多时间点自动化采集功能。软件支持点位智能记忆与追踪,适用于长时间活细胞成像与大规模样本筛查,提升数据产出效率;4)提供2K分辨率实时动态预览,在保持图像细节的同时实现低延迟显示,便于用户即时评估样本状态并调整成像参数,从而优化实验进程。
软件通过高度集成化的操作界面与智能化功能设计,降低了复杂成像实验的操作门槛,同时为高端显微影像研究提供了可靠、灵活的数据采集平台。其应用将逐步推动相关领域在动态观测、高通量筛选等方面的研究效率与数据质量。
获得三维结构图像仅是研究的起点,从中提取定量化的生物学信息才是关键。澄观光学推出的智能图像分析平台IntellySeg,核心突破在于解决了无标记图像的自动化解析难题。针对无标记图像中亚细胞结构对比度特性专门训练的深度学习模型,能够自动、精准地识别并分割脂滴、核膜、核仁等亚细胞结构。此外,可对分割后的每个细胞器进行多维度参数的自动提取与统计分析,包括但不限于数量、面积、折射率等指标,并支持跨时间序列的动态追踪,最终输出可直接用于统计分析的定量数据集,将复杂的动态影像转化为客观的生物学洞见。
此外,依据生命科学、生物医药以及工业检验测试领域各自独特的图像数据特征,量身定做专属的深度神经网络架构。收集海量涵盖不同场景、各类样本的图像数据集用于模型训练。实现对活细胞长时间无标记超分辨成像序列进行深度分析,量化细胞迁移速度、细胞器交互频率等动态参数分析;深度剖析药物与靶点结合的微观构象变化及亲和力动态数据,提前筛选出更具潜力的先导化合物,缩短研发周期;药物临床试验阶段,分析医学影像数据,精准监测药物在细胞内分布代谢过程及疗效反馈,助力优化给药方案,提高新药上市成功率。
基于上述优势,澄观光学自主研发的无标记活细胞超分辨显微镜能够为细胞生物学、药物筛选、发育学研究等多个应用领域提供高精度、可量化、直观且可重复的实验数据。
目前已知的真核细胞细胞器主要有细胞核、线粒体、内质网、溶酶体等,通过观察细胞器的形态或者细胞器之间的互作,能够更好地理解细胞功能和代谢过程,为研究细胞生物学、病理学以及药理学奠定基础。此外,ODT技术因其无标记的特性,能够对样品进行全景观测,因此能为发现新型细胞器并研究其结构、定位和功能提供了有力的技术支撑。基于我们的技术,科学家们也发现了一些新型的细胞器,如黑体
ODT可对活细胞进行数小时至数天的连续三维成像,因此能够实时观测细胞分裂、迁移、凋亡等动态过程。在细胞迁移过程中,从收缩丝上会产生像串珠一样多个膨大的囊泡结构,即迁移体
细胞间通过复杂而精密的相互作用,构建了生命活动的基本网络。解码这些细胞间的“对话”,是理解发育、免疫、神经功能和癌症等重大生物过程的关键。隧道纳米管(tunneling nanotubes,TNTs)是一种细胞间的长距离连接,能够在细胞之间实现远程、定向的通讯
在药物研发的早期阶段,ODT技术能用于评估药物对细胞产生的影响,例如细胞形态学变化、细胞器的形态变化及分布等,这一些信息对于评估药物的毒性、有效性与机制具备极其重大意义。
由于ODT技术无光毒性,可以在一定程度上完成无损成像这一大特征,十分有利于一些发育学的研究,例如胚胎发育等,能够对样品进行完整生命周期的观测。
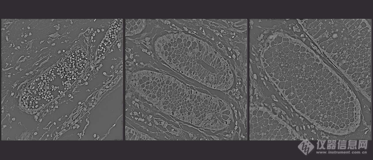
在菌类研究中,系统可观察菌体增殖、出芽等,实现对微生物行为的精准成像;在材料科学方面,系统可对材料的直径、折射率、圆度等进行直接观察与统计分析;此外,系统适用于组织切片及类器官成像,能够为组织病理学、类器官发育等研究提供高分辨、定量化数据。
图10 组织切片图光学衍射层析成像技术凭借其无标记、长时程、三维定量成像的独特优势,未来应用前景广阔。在基础科研领域,它将成为解析细胞生命周期、代谢动态、干细胞分化及细胞间相互作用的利器,特别是在类器官、肿瘤免疫等复杂模型研究中,能实现对细胞群体的原生态、高通量三维监测。其定量折射率参数更有望作为新的生物标志物。在临床与转化医学方面,该技术在无标记细胞病理学评估、辅助生殖中的胚胎质量动态筛查、以及药物高通量筛选等领域展现出巨大潜力,为疾病诊断与新药研发提供无损、客观的动态量化依据。
未来,澄观光学致力于不断突破创新,将光学成像技术和AI深度耦合,打造融合硬件设备与数据分析服务的综合性智慧光学平台,以云计算、边缘计算技术为支撑,实现多管线产品数据实时相互连通。用户通过平台可一站式操控显微镜远程采集数据,并借助深度学习模型及海量行业数据库进行深度分析,打破设备与数据孤岛,提供从微观成像到宏观数据洞察全流程解决方案,大幅度的提高科研、生产效率。
作为活细胞无标记超分辨成像领域的全球领军者,澄观光学持续深耕核心技术,致力于突破生命科学观测的极限。我们以“国际领先”为目标,加速技术迭代与产业化落地,推动生物医药、精准医疗等前沿领域的革新,以“中国特色”的自主创新打破国际垄断,服务全球市场。同时,传承“北大气派”的求真务实与开拓精神,澄观将持续攀登科技高峰,让源自南通的科技巨轮驶向更广阔的星辰大海。
澄观光学科技(南通)有限公司是一家植根于前沿光学和AI交叉领域的高科技企业。公司依托北京大学源头创新技术,专注于智慧成像技术的研发与应用,致力于为生命科学、生物医药及高端工业检验测试领域提供革命性的、全方位的、高质量的一站式成像解决方案。构建了以AI算法为核心引擎、以线性无标记超分辨多模态显微镜,非线性光学系统及其核心模块为两大支柱的先进产品矩阵。


